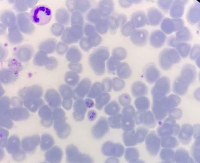
TIN TRONG NƯỚCQuảng Bình phát hiện một ca bệnh sốt rét ngoại lai
Trung tâm Kiểm soát bệnh tật tỉnh vừa phát hiện một ca bệnh sốt rét ngoại lai trên địa bàn.
TIN TRONG NƯỚCBộ Y tế hướng dẫn người dân mua và sử dụng thực phẩm chức năng đảm bảo chất lượng
Cục An toàn thực phẩm hướng dẫn và khuyến cáo người dân tra cứu thông tin về các sản phẩm thực phẩm chức năng trước khi quyết định chọn mua để đảm bảo an toàn.
TIN TRONG NƯỚC4 tầng điều trị bệnh nhân Covid-19 tại Hà Nội
Sở Y tế Hà Nội áp dụng mô hình điều trị Covid-19 "tháp 4 tầng", trong đó tầng 3-4 chữa trị bệnh nhân nặng và rất nặng, nguy cơ tử vong cao.
TIN TRONG NƯỚCChủ động triển khai phòng, chống dịch bệnh truyền nhiễm mùa mưa bão, ngập lụt
Bộ Y tế vừa có công văn hỏa tốc gửi UBND các tỉnh, thành phố trực thuộc Trung ương về đẩy mạnh phòng, chống bệnh sốt xuất huyết, tay chân miệng, COVID-19 và dịch bệnh mùa mưa bão.
Kịp thời cứu thuyền viên tàu nước ngoài bị đột quỵ trên biển
Hồi 11h20’ ngày 25-1-2020, tàu NORDANA MALEE quốc tịch Thái Lan đang trên hành trình từ Busan – Hàn Quốc đến TP Hồ Chí Minh, khi đi đến vị trí 17027’N – 114021’E (cách Đà Nẵng khoảng 355 hải lý về hướng Đông Bắc) thì sỹ quan máy tư của tàu tên Chatuporn Arttama (SN 1976, quốc tịch Thái Lan) bị liệt nửa người bên phải, miệng méo, bất tỉnh.
Thêm 527 bệnh nhân nhiễm nCoV ngày 2/7, TP.HCM 419 ca
Theo bản tin tối 2/7, Việt Nam ghi nhận 210 trường hợp mắc mới. Như vậy, cả nước có 527 bệnh nhân được ghi nhận trong ngày.
